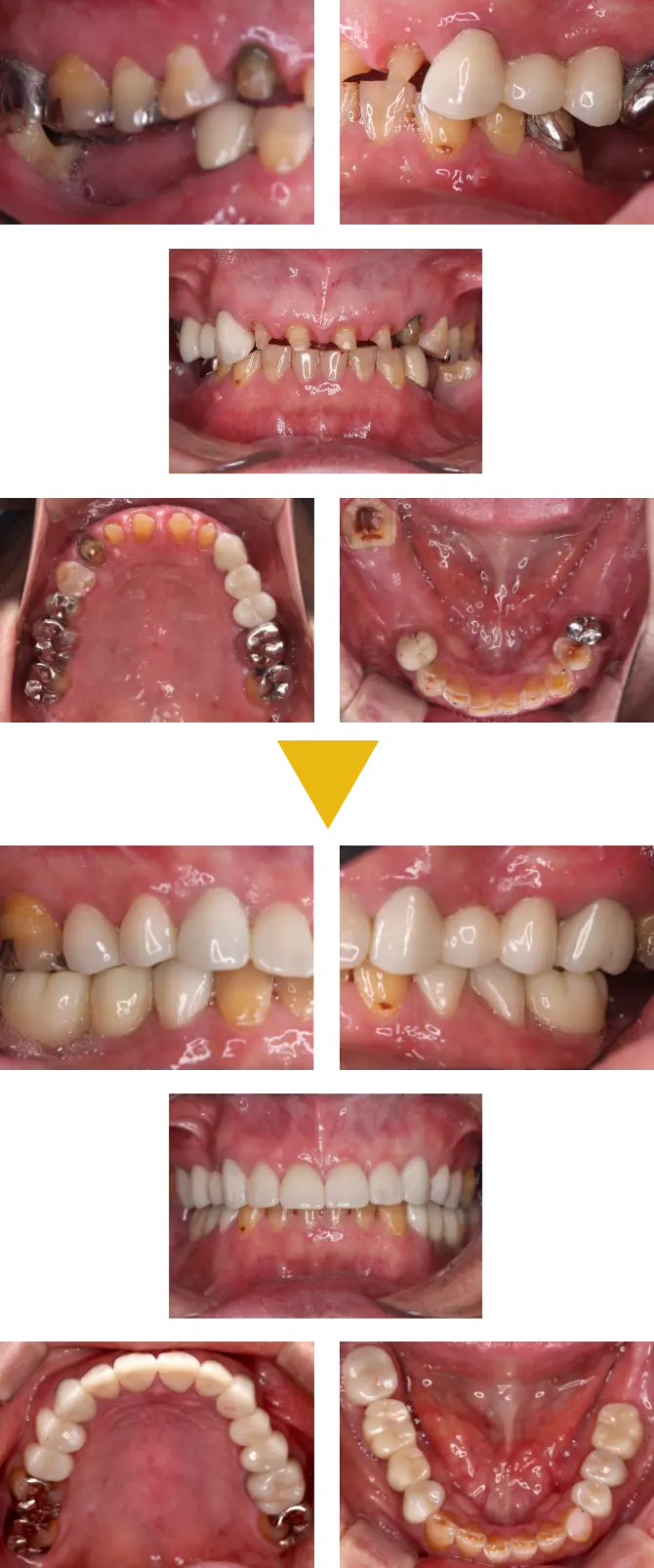
噛み合わせの重要性について
噛み合わせは、単に“よく噛めるかどうか”だけの問題ではありません。
噛み合わせが全身の健康や将来の健康寿命に直結するという点です。
噛み合わせが乱れると歯に過度な力が加わり、虫歯や歯周病の進行を早めるだけでなく、顎関節への負担、筋肉の緊張、さらには頭痛や肩こりといった全身症状にまで影響を及ぼします。適切な噛み合わせをつくることで歯は長く健全に保たれ、食事の咀嚼効率が向上し、栄養吸収の面でもよりよい結果を得ることができます。
また、噛み合わせは見た目にも大きく関わっています。正しい位置で噛めるようになると、口元のバランスが自然と整い、笑顔に自信を持てるようになります。これは、患者さまの毎日の生活の質を高める大切な要素です。
私たちが噛み合わせ治療にこだわるのは、
「今の快適さ」と「将来の健康」を同時に守るための、もっとも重要な基盤だからです。
歯並びや噛むときの違和感、口元のコンプレックスなど、どんな小さな悩みでも構いません。ぜひ一度ご相談ください。あなたの健康を長く支えるため、その方に最も適した治療をご提案いたします。
噛み合わせ担当医安村



